IVQ
Director Trades
| Date | Director | Value |
|---|
Company News

Invitrocue unveils novel cancer detection method, screens first customer in Singapore
Bio-analytic healthcare provider Invitrocue (ASX: IVQ), has advanced its proprietary cancer-detection test by screening its first commercial Onco-PDO customer in Singapore. The Onco-PDO is a breakthrough technology which tests for the indication of colorectal cancer. Colorectal cancer is on the rise in Australia, especially among millennials, according to several recent studies. Invitrocue’s Onco-PDO test provides […]

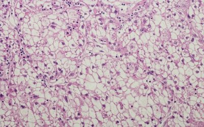
Invitrocue’s Onco-PDO technology grows liver cancer outside of body
Invitrocue (ASX: IVQ) has again validated its Onco-PDO technology by successfully growing liver cancer outside the human body, opening the door for liver cancer sufferers to receive more personalised drug treatment plans. Using Onco-PDO technology, Invitrocue researchers have been able to culture a variety of patient-derived cancer cells in the laboratory. The cultures or organoids […]
Company Videos
No videos found.